双立柱DR满足产品功能的多元化需求
添加时间:2024-07-17 15:42
浏览次数:
来源:
车载专用高频高压发生器支持脉冲透视、连续透视及大功率摄影功能,主要由机箱、控制系统、储能单元、逆变模块、高压油箱等组成。产品功率密度高,可以满足DR系统对小尺寸部件的需求,同时提供可配置的软件解决方案,满足客户对产品功能的多元化需求。
1.透视与摄影快速切换
2.全数字无级变速旋转阳极控制技术
3.数字化mA及kV调节
4.体积小巧,功率密度高
5.油箱耐压等级高(224kV)
6.采用DSP+FPGA控制架构,性能稳定可靠
7.标配AEC、双速阳极驱动功能
8.支持大小灯丝自动调节
9.选配ABS (自动亮度稳定)标准
10.满足YY/T 0291-2016 II组标准.
11.电容储能
采用车载专用车载机架,结构紧凑、小巧,适用于多种车型、节省空间
1、DR支架采用电动的形式进行各种操作,支架固定安装在汽车上,支架可进行上下升降,满足不同的检查需求,胸片架与球管支架上下自动跟踪。
2、固定方式,可以减少立柱的晃动,提高设备的稳定性,大大延长使用周期
3、快速同步、运动快,提高工作效率。
4、选用业内最好铝合金拉伸工艺,结构稳固而且,外观精美。

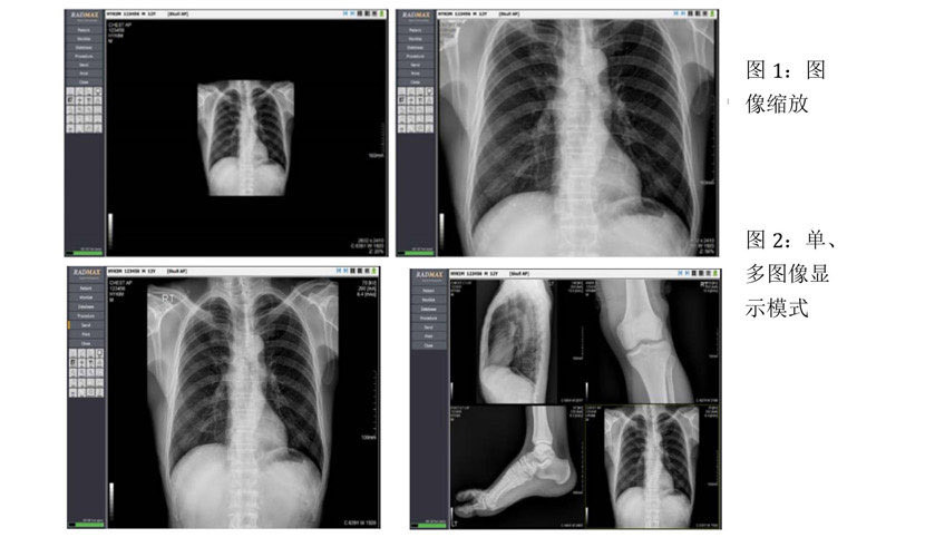
图像工作站
优势:体检专用图像采集软件,速度快、工作效率高!
特色功能
1、支持一键曝光 不用登记、不用设置参数、免图像确认
2、支持自动登记。
3、支持检查病例之间快速切换
4、支持身份证阅读器
5、支持批量预登记,导入数据清单就可以
6、支持移动硬盘实时备份存储
7、支持多种导出格式(DCM, JPG, BMP。PNG等) ,可以自定义名称