欢迎光临~beat365在线体育官网
  咨询电话:400-800-8232、13922709440

新闻中心

脑梗死栓塞腔隙性脑梗死脑出血诊断有什么依据

添加时间:2024-09-23 14:02         浏览次数:         来源:

我国脑卒中引起的死亡远超过心血管病和癌症。我国脑卒中病死率是美国的4倍,美国预防脑卒中做得最好,其方法已在我国推广。在我国长期以来只重视脑中中的抢救,不知道预防,其实完全可以有效预防。原来引起脑卒中的血栓往往足颈动脉的血栓,它随血液上行堵塞了脑血管,导致脑细胞缺血缺氧坏死。故及时发现颈部动脉狭窄血检可以积极干预。 有效预防脑本中的发生,所以头强部防前脑中风必不可少的前查手段。


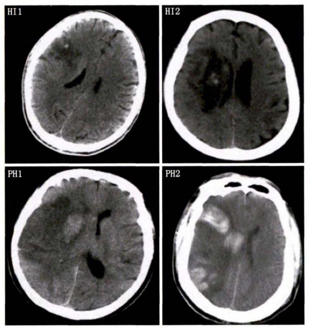
中、老年病患,有动脉粥样硬化及高血压病等脑卒中的危险因素,发病结合神经系统症状和体征,应当考虑急性脑梗死的可能。再经脑CT/MRI发现梗死灶,或排除脑出血、炎症性疾病等,诊断即可确定。脑梗死有时颇似小量脑出血的临床表现。脑栓塞在任何年龄都可以有发病的风险,可以在几秒到几分钟达到顶峰。会有偏瘫不能说话等局部神经功能损坏。栓子来源很种,可能是冠心病、心肌梗塞、心内膜炎等。合并心房纤颤,结合其他脏器官的支持诊断,CT跟磁共振都可以检查确定栓塞位置数量还有是不是有伴发出血等问题。可以帮助诊断。


中老年有高血压糖尿病发病病史,起病神经功能缺损症状,临床表现为腔隙综合征,即可初步诊断本病。如果CT或磁共振证实有与神经功能缺失一致的脑部腔隙病灶, 符合大脑半球或脑干深部的小穿通动脉病变,即可明确诊断。少数患者隐匿起病,无明显临床症状,在影像学检查时发现。


中老年患者,多有高血压病史,情绪激动发病,神经功能缺损症状、头痛、呕吐、颅高压症状,脑出血的可能,CT或者磁共振的检查,可以迅速明确诊断。蛛网膜下腔出血的诊断依据有哪些?突然的头疼剧烈,有恶性呕吐现象,脑膜刺激征阳性,有意识障碍。无局灶性神经系统体征,那么有可能是蛛网膜下腔出血。CT或者磁共振证实蛛网膜下隙高密度征象或血性脑脊液等可临床确诊。

导航栏目



联系我们

联系人:13922709440 余先生

固 话:86-020-86059537

服务热线:400-800-8232

邮 箱:www.aiweic.com

公 司:beat365在线体育官网

广州总部地址:广州市黄埔区开源大道188号十三栋1301室

湖北公司地址:湖北省钟祥市经济开发区协企联盟园区C6、C7栋